Зубной камень
Зубной камень – это бактериально-минеральный налёт, который образуется на пришеечной поверхности эмали при недостаточной гигиене полости рта, а также вследствие курения и некорректного рациона.
Сначала на поверхности образуется мягкий налёт. Он состоит из бактерий и остатков пищи. Мягкий налёт легко очищается – он удаляется даже при пережёвывании моркови, яблок и других жёстких продуктов, а также при гигиене полости рта с использованием зубной щётки, флосса или ирригатора.
Однако, если человек не будет удалять мягкий налёт, он может начать петрифицироваться – изменять структуру, становиться твёрдым и минеральным. Превращаться в зубной камень. Твёрдый налёт удаляется гораздо сложнее – он зачастую даже сопротивляется очистке классической щёткой.
Зубной камень не только неэстетичен, он также является причиной множества заболеваний. Например, он может вызывать гингивиты и другие воспаления дёсен. Это происходит из-за контакта бактерий и мягкий тканей полости рта. Но самое опасное последствие зубного камня – это пародонтит, воспалительный процесс пародонта, тканей, окружающих корни и основание зуба. Он может привести к подвижности и выпадению зуба.
Лечение зубного камня – быстрое и комфортное. Для разрушения минеральных отложений может использоваться ультразвук, лазер или технология Air Flow. Конкретную методику выбирает стоматолог в зависимости от особенностей заболевания. Так, очистка тонкого зубного налёта производится методом Air Flow – минеральные отложения счищаются водовоздушным потоком с добавлением активных веществ.
Флюороз
Флюороз – опасное стоматологическое заболевание, которое вызывается употреблением чрезвычайно больших доз фтора. Обычно это вещество попадает в организм человека вместе с водопроводной водой. Кроме того, источником фтора может быть производственная среда или даже неправильно выбранная зубная паста.
Флюороз начинается с появления на поверхности зубов белых матовых пятен. Они не всегда заметны невооружённым взглядом. С течением времени пятна меняют цвет – они сначала желтеют, потом становятся коричневыми. Если в этот момент не обратиться к стоматологу, флюороз может перейти в эрозивную или деструктивную формы – когда из-за заболевания эмаль начинает разрушаться.
Лечение флюороза практически всегда консервативное. Стоматолог проводит реминерализацию эмали, восстанавливая баланс кальция, фосфора и фтора. Потемневшие участки отбеливаются. Кроме того, пациенту рекомендуется изменить образ жизни, чтобы снизить количество потребляемого фтора – например, установить дома специальный фильтр для воды или же поменять место работы.
Флюороз часто носит «эпидемический» характер. Если он вызван повышенным содержанием фторидов в водопроводной воде – он развивается у всей семьи. Если причиной стало нарушение производственной безопасности – у всего коллектива. В Рязанской области флюороз часто выявляется у жителей Рыбновского, Чучковского и Шацкого районов, где в воде содержится повышенное количество фторидов.
Пришеечный кариес
Пришеечный кариес локализуется на шейке зуба – месте, где эмаль соприкасается с десной. Этот патологический процесс протекает очень быстро, что делает его одной из самых опасных разновидностей данного заболевания. Пришеечный кариес уже за несколько месяцев может перейти в пульпит, пародонтит или корневой патологический процесс. Он намного быстрее, чем локализованный, например, на вестибулярной или оккулюзионной поверхности.
Пришеечный кариес нуждается в незамедлительном лечении. Если запустить болезнь, патологический процесс достаточно быстро «перекинется» на корни зуба. При этом пациент начнёт испытывать острые боли. При разрушении корней сохранить зуб становится невозможно, и единственный способ «лечения» – удаление.
Но есть и «плюсы». Если пришеечный кариес обнаружен на раннем этапе, когда патологический процесс ещё не затронул дентин и корни зуба, это заболевание можно вылечить консервативным методом. Стоматолог проведёт фторирование и реминерализацию эмали, восстановив её прочность. Препарирование в этом случае не требуется или проводится минимальное.
Если патологический процесс достиг дентина – пациента беспокоит не только потемнение зуба, и повышение чувствительности, а также болевые ощущения – то лечение проводится методом пломбирования. Стоматолог удаляет разрушенные ткани, после чего очищает зуб от остатков вредоносных микроорганизмов и закрывает его пломбой.
Наиболее распространённой причиной пришеечного кариеса является недостаточная гигиена зубов. Для профилактики этого заболевания необходимо регулярно чистить зубы, не менее 2 раз в день, пользоваться флоссом (зубной нитью), а при предрасположенности – ирригатором.
Насколько вероятна потеря результата?
На длительность ретенционного периода влияют несколько факторов.
Индивидуальные особенности.
У кого-то костная ткань более плотная, у кого-то менее. Также у всех людей по-разному усваиваются из пищи кальций, фосфор и другие минералы, которые влияют на прочность костей. Те, у кого лечение проходило быстро, в будущем рискуют, что и регресс (при нарушении предписаний врача) может наступить так же быстро.
Причины возникновения нарушения прикуса.
Некоторые причины устранить невозможно. Например, сколиоз у взрослых людей практически не поддается коррекции. Его можно лишь немного уменьшить. Но неправильная осанка влияет и на расположение зубов.
Легко увидеть, насколько расположение челюсти связано с положением головы и осанкой
С другой стороны, если неправильный прикус возник из-за ретинированных зубов, и эта проблема после лечения устранена («лишние» зубы удалены или выровнены и заняли свое положение в ряду), то регресс, скорее всего, не наступит.
Общее состояние здоровья.
На сохранение результата негативно влияют стрессы, плохое питание или строгие диеты, развитие пародонтоза, потеря зубов, общие заболевания, особенно связанные со снижением иммунитета, такие как сахарный диабет или любые другие, требующие постоянного приема гормональных препаратов.
Как определить, сколько длится ретенционный период?
Врач может предположить, какие риски есть у конкретного пациента. Но заранее предсказать это сложно, стандартный срок – не менее, чем срок лечения.
Так как само лечение у ортодонта долгое и дорогостоящее, чтобы не рисковать результатом, обычно рекомендуют наблюдение у ортодонта еще 1–2 года.
Какие правила соблюдают, чтобы прикус не вернулся в прежнее положение?
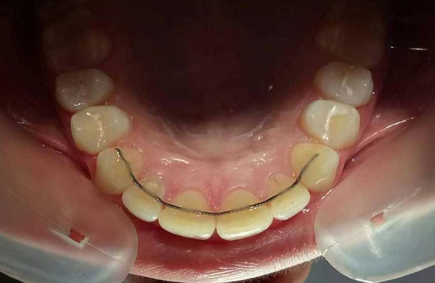
Ношение капы и ретейнера.
Это самое основное. Устанавливать ли ретейнер – тонкую и малозаметную проволоку, похожую на дугу брекетов, которую крепят с внутренней стороны зубов – решает врач, но чаще всего это делают.
Установленный на зубы ретейнер
Ретейнеры не отменяют также ношения кап. Капы используют те, кто носил брекеты, и продолжают носить те, кто лечился с помощью элайнеров. Обычно капы достаточно надевать на ночь. Их изготавливают по модели зубов в самом конце лечения, когда получен желаемый результат.
Хотя капы сохраняют прежде всего положение зубов в ряду, на прикус они тоже влияют. Так как если зубы в правильном положении, то и окклюзия (смыкание) зубов сохраняется.
Посещение врача-ортодонта.
Плановый прием рекомендуется раз в 6 месяцев (в первый год–полтора после окончания лечения), а затем раз в год. Сам пациент может не заметить небольшие отклонения зубов от правильного положения, но врач обычно это сразу видит. Небольшие нарушения легко устранить: достаточно сделать новую капу, которая быстро вернет результат и будет его поддерживать.
Поддержание общего здоровья.
Достаточный сон, уменьшение стрессов, полноценное питание без ограничений в основных видах продуктов, особенно содержащих кальций и фосфор.
На первый взгляд кажется, что стрессы и общее переутомление никак не отражаются на состоянии зубов, но многие врачи отмечали, что негативное влияние есть.
Продолжение лечения, если оно требуется.
Иногда после исправления прикуса нужно протезирование, если, например, изначально отсутствовали верхние резцы-«двойки» (это самый частый случай адентии) или если какие-то зубы до лечения были удалены. В этом случае рекомендуется пройти комплексное лечение, то есть сначала у ортодонта, а затем у имплантолога. Именно такой подход гарантирует максимальное восстановление всех функций зубов и наилучшее поддержание результата в будущем.


















































